当院は大分県大分市でインプラント、all on 4をいち早く臨床に導入しています。
大分県でオールオンフォーインプラントをするならスマイルライン歯科へ
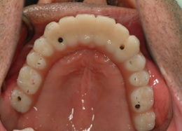
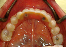
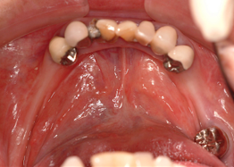
治療対象は、無歯顎(全く歯が無い方)、または残存歯がほとんど良くない方です
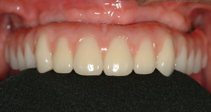
最低4本のインプラントを埋入し、それらを連結し、半日で固定式の仮歯まで入れて審美性、機能性を一日でとりもどせる革新的な治療。
オールオンフォーが優れた治療と言われる点は、
1.従来インプラントは歯茎の中の骨に結合する3〜6ヶ月までは、歯をいれて噛ませることはできないと言われてきましたが、特殊な手術法によりインプラントを埋入し、4本〜6本を連結固定することにより、手術したその日からインプラントで食事を噛んでもらうことができるようになります。
2.歯の形はほぼ天然歯があった時と同じになるので取り外しの義歯に比べて違和感がなく、手入れもインプラントの本数を少なくすることにより、清掃もし易くなっています。
3.インプラントの本数を少なくできることは、経済的も優れています。従来の治療では、無歯はでは10〜14本のインプラントを埋入していたのでそれと比較すると、かなりの治療費を削減できると考えます。
