all on 4 (オールオンフォー)を応用した症例
all on 4 (オールオンフォー)を応用した症例
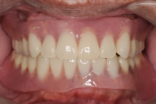
前歯しか残らなかった方です。奥歯にインプラントをしなければならないのですが、普通のインプラント治療であればサイナスリフト(骨移植)して1年待ってそれからインプラントを埋入してと1年半くらいかかってしまいます。ですが、オールオンフォーの治療を行っている医院であればこのような治療を施すことが可能となります。
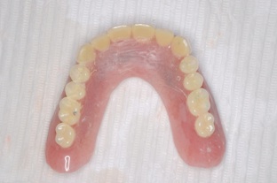
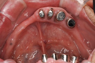
この方は結局、all on 4 を応用し、奥歯に両側2本のインプラントを傾斜埋入して、それにマグネットをつけました。これなら骨移植をせずにインプラントが可能になり、3ヶ月ほどで終了できます。
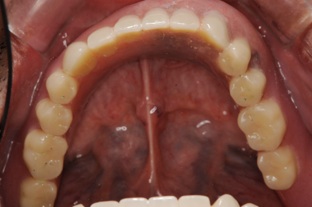
マグネットをつけているので大幅に義歯の面積を縮小することが可能になりました。
患者様も違和感がないと大喜びです。
術後レントゲンです。このように斜めにインプラントをいれることにより、上顎洞への骨移植をさけることができます。これはオールオンフォーのインプラントを行っている歯科医ならではの発想です。
もし、前歯が悪くなった場合、さらに2本インプラントを追加すれば固定式の歯をいれることができます。
術前のCT右側
術前のCT左側