歯周病  Periodontics
大分市 スマイルライン歯科
 


歯周病の治療は歯を一生大切にし続けるためには避けては通れない治療です

歯周病の原因はプラーク(食べ物の汚れかす)の中にいる細菌です。歯周病菌は歯茎の中の骨を溶かして、歯茎を破壊していきます。直接の原因は細菌ですが、その他に歯周病の進行を速めるものとして、歯ぎしり、食いしばり、かみ合わせ、遺伝、タバコ、糖尿病などがあり、それらが相互的に作用し、発症します。

 歯周病は歯茎の中の骨が溶ける病気で、最終的には歯がぐらぐらして抜けてしまいます。歯周病は30歳代で80%人が罹患しているにも関わらず、「沈黙の病気」と呼ばれるほど、自覚症状が感じられない病気であるために、重度になるまでほったらかしになっている人が少なくありません。歯を一生大切にするためには歯周病の早期発見早期治療が欠かせません。

歯周病の原因について

歯周病の症状について

プラーク中に含まれる細菌数は実に糞に含まれる細菌数よりも多いことがわかっています。それだけにプラークは細菌のかたまりですから臭いがします。口臭がひどい場合、胃が悪い方も中にはいらっしゃいますが、ほとんどは歯周病によるものと考えてよいでしょう。また、歯茎の周りにプラークがつくことにより、歯茎が腫れてきます。腫れるということは歯茎に悪い血がたまるということで、出血しやすくなります。また、歯周病は一日を通して夜、一番活動しますので、朝起きたとき口の中がねばねばしてきます。また、歯茎の中の骨が溶けると歯茎もいっしょにさがってくることがあり、歯茎がさがると歯の根が露出するため、しみてきます。

歯周病の治療について

歯周病の治療は大きくわけて4つあります。

一つは病院内で行う歯石、プラークの除去、これは特殊な器械を使います。二つ目は患者さん本人の日頃のプラークコントロール。いかにその方にあった最適な歯の汚れの取り方を習慣づけてもらうか、一緒に学んでいきます。三つ目は抗菌療法、歯周病に効く抗生剤を飲んでもらったり、抗菌剤を歯磨き粉がわりに使って頂き、原因菌である歯周病菌を口腔内から直接なくしていきます。

4つ目はかみ合わせのコントロールです。歯周病は進行してしまうと歯が動揺していきますがかみ合わせの力によってさらにそれは進行していきます。ですからいかにそのかみ合わせの力を歯全体に均等にかかるようにするか調整しなければなりません。必要な場合、わざと歯を削り。被せもので歯を連結することもあります。

 よって、治療はケースによってはかなり根気のいる長い期間が必要になることもありますので、十分な説明を受けて頂き、治療を行っていきます。


歯周病の治療の流れについて

1.検査

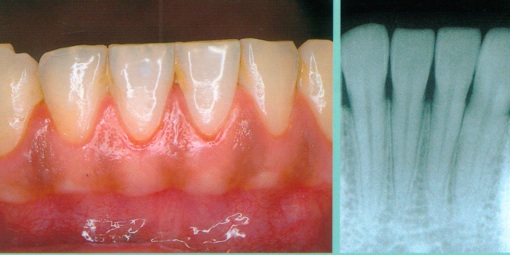
 歯周ポケットの測定

 レントゲン

 かみ合わせのチェック

 口腔内写真

2.スケーリング、ブラッシング指導

 歯茎の上に出ている歯石をとります。同時に患者さんが歯周病に適した歯磨きの仕方  

   をマスターしていただくまで、一緒にまなんでいきます。

3.ルートプレーニング

 歯茎の中に食い込んだ歯石をとります)

4.再検査

 炎症がなくなり、改善がみられる場合は5,6へ

 改善がみられない場合は歯周外科治療や組織再生療法の治療へ

5.補綴治療

 かみ合わせを含めた被せ物の治療

6.リコール

 約4ヶ月から6ヶ月毎にチェック、クリーニング


歯周病の進行について

歯周病、あなたの進行度チェック

1.歯磨きの時、歯茎から出血がある

2.突然、口の中で血の味がする

3.口臭がする、または他人から言われたことがある

4.鏡でみて歯に歯石がついている

5.よく歯にものが詰まる

6.歯が動いている

7.歯ぎしりをするといわれたことがある

8.歯がしみる

9.たばこを吸う

10.糖尿病を患っている

11.かみ合わせがかわってきた感じがする(特に前歯がでてきた)


以上これらの項目が当てはまる場合は歯周病が進行している可能性がありますので一度検診をお勧めします。